Skip to Content
PLUS D'INFORMATIONS (772) 264-4023
Soins dentaires du Pélican Soins dentaires du Pélican

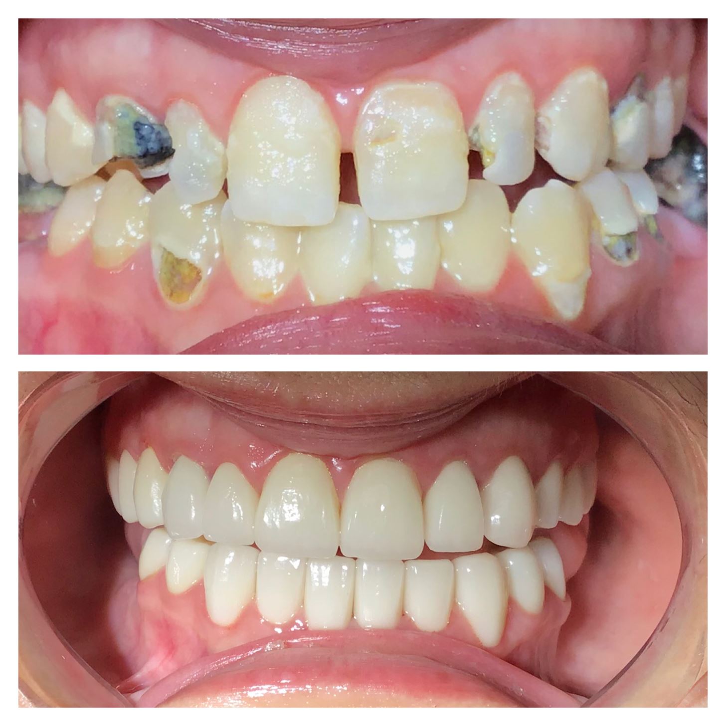
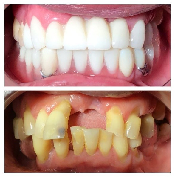
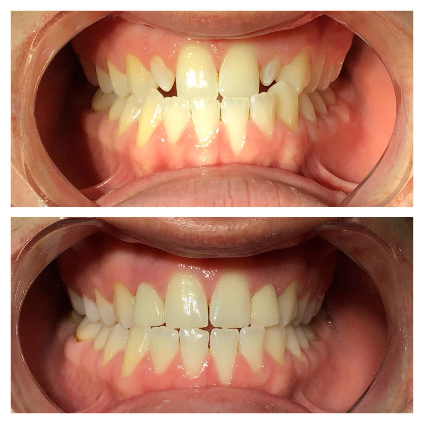
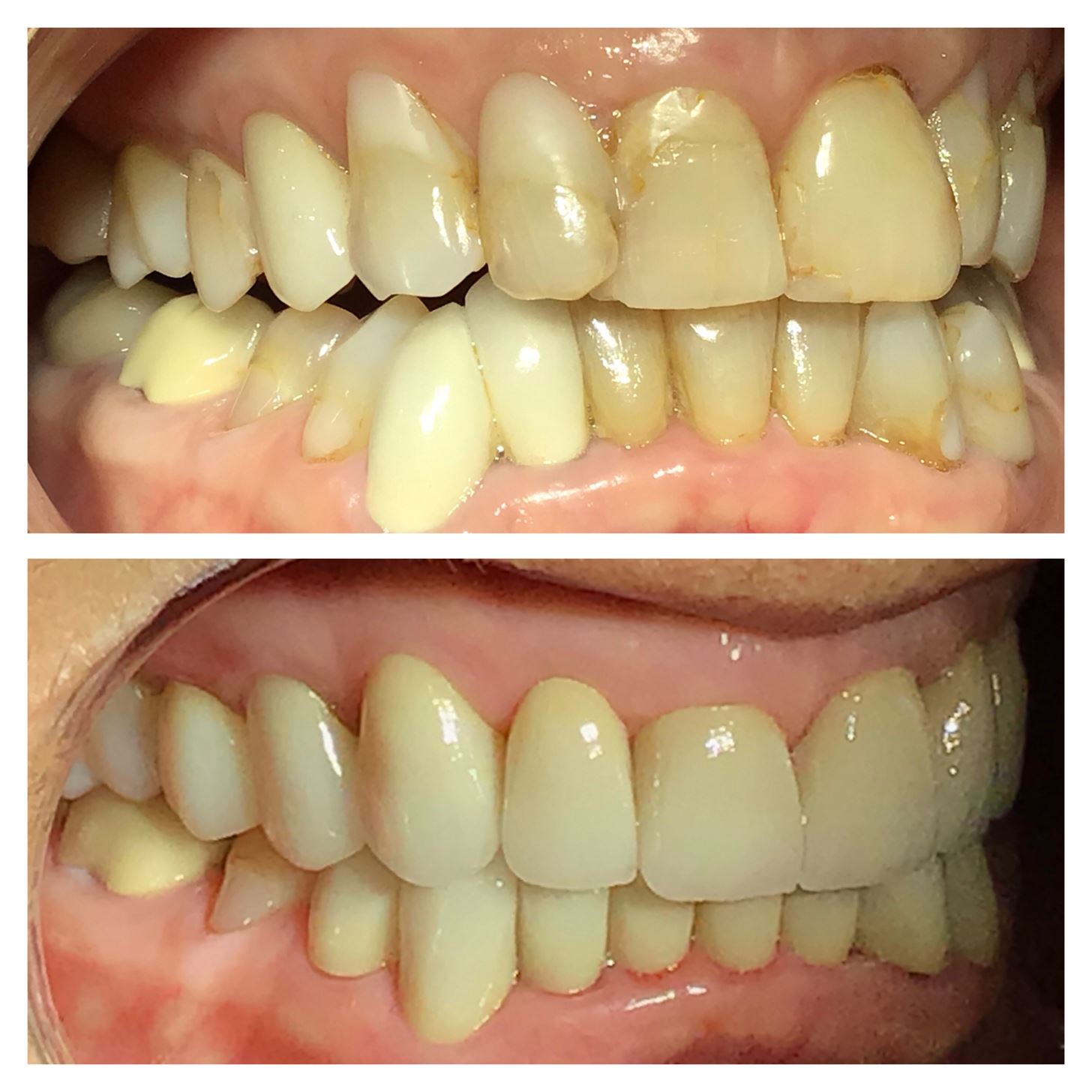
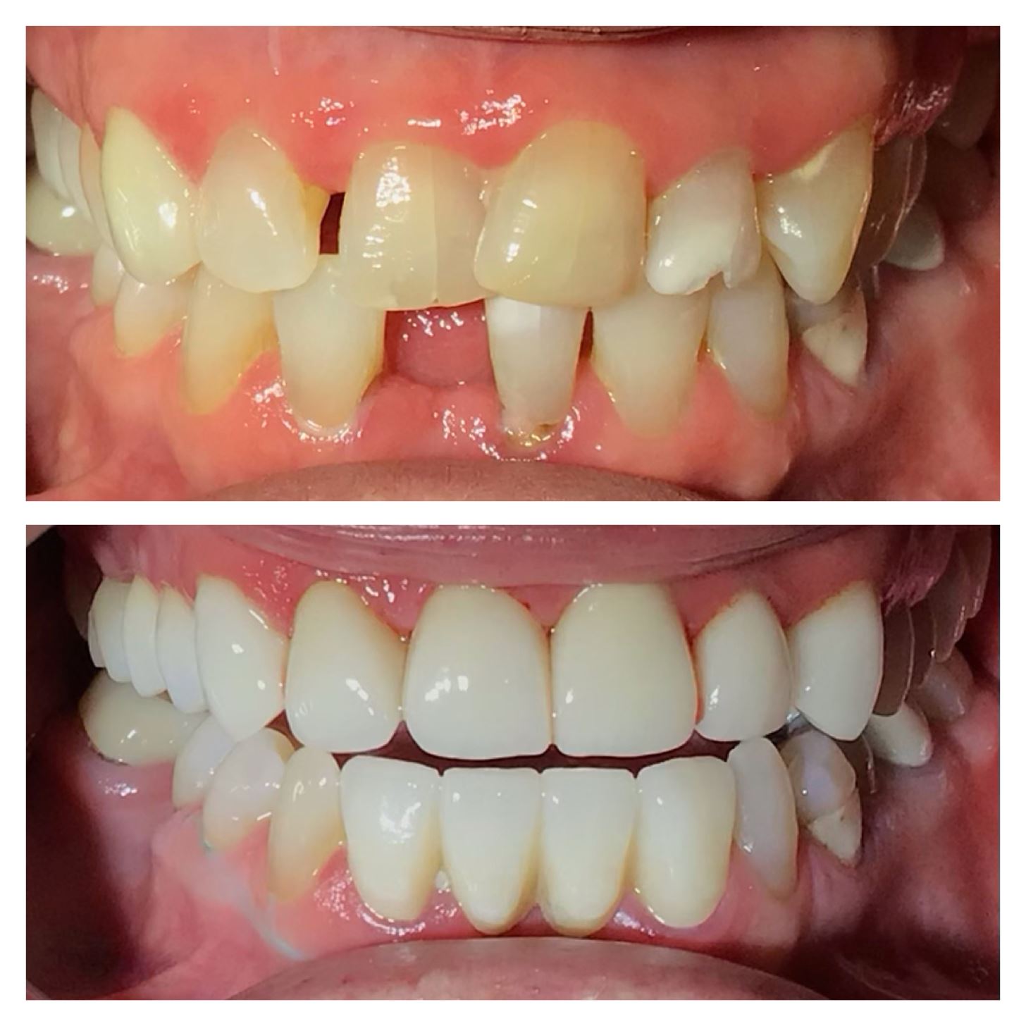
Traitement et galerie des sourires

Contactez-nous dès aujourd'hui !

Nous sommes prêts à vous aider

Un membre de notre équipe vous contactera sous peu pour confirmer vos coordonnées ou répondre à vos questions.

Pourquoi Pelican Dental Care ?

Courtoisie, intégrité, respect et efficacité

  • Imagerie panoramique pour un diagnostic complet de la bouche
  • Espaces de consultation privés
  • Des toilettes privées et spacieuses
  • Radiographies numériques (résultats plus rapides)
  • Palette de couleurs apaisantes et éclairage naturel
  • Aménagement conforme aux normes ADA et accessible
  • "Très efficace, amical, serviable et d'un grand soutien.
    J'ai eu 2 facettes avant et de nombreux nettoyages ici pendant 5 ans. Très efficace, amical, serviable et d'un grand soutien. Je viens de subir un nouveau nettoyage. Excellents soins !
    - Rosemary L.
  • "Je peux honnêtement dire qu'elle est la MEILLEURE.
    "J'ai bénéficié de plusieurs services, notamment des soins de routine, une extraction, un implant, une couronne et un nouveau protège-dents. Le personnel est professionnel et gentil.
    - Sharon K.
  • "Je suis maintenant heureux de sourire à nouveau !
    "C'est le meilleur soin dentaire que j'ai jamais eu et j'ai 67 ans.
    - Sue M.
  • "Pelican Dental Care est le numéro 1 !
    "Le Dr Liliana Pérez m'a vraiment redonné l'espoir de sourire à nouveau.
    - Esther P.
  • "Le Dr Perez est un excellent dentiste.
    "Elle vient de poser un implant et a fait un travail remarquable.
    - Joyce C.
  • "Meilleure expérience".
    "Jackie a été formidable pour m'aider à calmer mon anxiété et l'équipe a été formidable.
    - Jenna F.
  • "Je recommande vivement le Dr Perez et son équipe.
    "Tout le monde dans le bureau a été formidable et très amical, et ils m'ont fait entrer rapidement.
    - Alicia S.
  • "Le Dr Perez est le meilleur !
    "C'est la première fois de ma vie qu'un dentiste dispose d'un fauteuil de massage dans son cabinet qui m'a permis de me détendre et de me ressourcer - c'est tout simplement spectaculaire !
    - Marie S.

Facettes dentaires pour le sourire

Couronnes simples

Couronnes/ponts multiples

Implants dentaires

Prothèses dentaires et partielles